você está em: Tratamentos/ Clareamento /Dental com moldeiras

Clareamento Dental com moldeiras personalizadas

 O clareamento dental com moldeiras apresenta excelentes resultados para alterar a tonalidade do esmalte dentário. O tratamento tem a duração de aproximadamente 28 dias, com 4 consultas:

Primeira consulta:

  • Exame, diagnóstico, avaliação das retrações gengivais, áreas de sensibilidade e análise das tonalidades do esmalte dentário de todos os dentes para planejamento do clareamento;
  • Moldagem para confecção das moldeiras personalizadas.

Segunda consulta (aprox. 4 a 7 dias após):

  • Registro da cor inicial;
  • Instalação das moldeiras, ajuste;
  • Fotografias;
  • Entrega do gel clareador adequado conforme diagnóstico;
  • Orientações de uso e cuidados.

Terceira consulta (aprox. 20 dias após):

  • Revisão das tonalidades dos esmaltes dentários de cada dente;
  • Análise das áreas de sensibilidade e exposição radicular;
  • Avaliação da resposta gengival;
  • Entrega de mais gel clareador se necessário;
  • Orientações de uso e cuidados.

Quarta consulta (aprox. 7 dias após):

  • Revisão das tonalidades dos esmaltes dentários de cada dente;
  • Avaliação dos resultados e fotografias;
  • Polimento do esmalte dental para brilho e proteção.
Disfunções da  atm

Antes

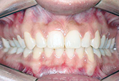
Disfunções da  atm

Depois

Caso o paciente tenha sensibilidade, será feita aplicação de dessensibilizante e prescrito medicação se necessário.

Celular Rodape

Fale Conosco